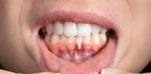
Diş Eti Çekilmesi (Periodontitis) Nedir?
Diş eti çekilmesi diş kökünün ortaya çıkmasına neden olan bir rahatsızlıktır. Diş eti normal ve sağlıklı olduğunda diş kökünde herhangi bir açıklık görülmez. Farklı sebeplerle diş eti çekilmesi sorunu ortaya çıktığında diş kökleri görünür. Dişler bu durumda daha sağlıksız hale gelir. Bazı dişler sallanır ve bazı dişlerin kökünden çıkması bile söz konusu olur. Çekilme çoğalmadan önce durumun ciddiyetini anlamak gerekir. Diş etinde yaşanan bu çekilmeler ağız ve diş sağlığını en olumsuz etkileyen sorunlar arasında kabul edilir.
Periodontitis olarak bilinen bu rahatsızlık insanların yaşam kalitesini çok olumsuz etkiler. Dişlerin kök kısmı daha hassas olduğu için şekerli gıdalar, sıcak-soğuk gıda ve içecekler sızlamaya neden olur. Çürümeye karşı dişlerin daha korumasız olduğunu görmek mümkün olur.
Diş Eti Çekilmesi (Periodontitis) Neden Olur?
Diş eti çekilmesinin nedenleri içinde en önde gelenleri bakteri ve tartar olarak bilinir. Diş temizliğine yeteri derecede dikkat etmeyenler diş eti çekilmesine davetiye çıkarmış olur. Dişlerin hemen dibinde ortaya çıkan bu oluşumlar, zamanla köklere doğru yayılır ve diş etinde çekilme gibi çok önemli bir sorun ortaya çıkar. Eğer bu durumda bir uzman yardımı alınmazsa çekilmenin daha da aşağılara inmesi söz konusu olur.
Diş eti çekilmesinin nedenleri değerlendirmesi yaparken en başlıca sebebin dişlere iyi bakmamak olduğunu hatırlatmak gerekir. Yemeklerden sonra ağızda bulunan bakteriler ve yemek kalıntıları, çürümenin ve plak oluşumunun en başlıca nedenleri arasında yer alır. İyi bir bakım olan diş fırçalama ile bu sorunların önüne geçmek mümkün olur. Günde en az iki kez diş fırçalamak ve diş temizliğine önem vermek bu sorunların önüne geçmek anlamına gelir.
Diş Eti Çekilmesi (Periodontitis) İle Ortaya Çıkabilecek Komplikasyonlar Nelerdir?
Diş eti çekilmesi önemli sağlık sorunlarından biridir. Birçok komplikasyona yol açan bu durum diş kaybının da en temel sebepleri arasında görülür. Komplikasyonlar içinde diş kaybından sonra çene kemiğinde kayıp ve dejenerasyon gibi önemli sorunlar da baş gösterebilir. Diş etinin çekilmesine neden olan bakteriler, dolaşım sistemini kullanarak farklı organ ve sistemlere de zarar verebilir.
Diş eti çekilmesi olarak bilinen rahatsızlık önemli komplikasyonları beraberinde getirir. Düzenli olarak diş temizliğine önem verenlerde bu tip sorunlar nadir görülür ya da hiç görülmez. Bakımlı dişlerin ağız ve diş sağlığı için önemini anlamak gerekir. Diş etinde yaşanan bir çekilme çok zorlu ve sağlıksız süreçleri beraberinde getirebilir. Bu nedenle daha önceden tedbir alarak bu sorunları yaşamamak gerekir.
Diş Eti Çekilmesi (Periodontitis) Nasıl Önlenir?
Diş eti çekilmesi ameliyatı ve benzer tedavi yöntemleri diş etinin çekilmesini önleme amacıyla uygulanır. Eğer rahatsızlık çok ilerlemişse diş eti çekilmesi ameliyatı son çare olarak görülür. Bu konuda daha erken dönemlerde alınacak tedbirler vardır. Düzenli olarak dişleri fırçalama ve diş ipi kullanma, en bilinen yöntemler arasında yer alır. Diş köklerine doğru tartar oluşumunu önlemek adına yapılan temizlik, dişlerin temiz ve sağlıklı kalmasına yardımcı olacaktır.
Düzenli olarak yapılan diş muayeneleri ağız ve diş sağlığını korumak adına büyük önem arz eder. İnsanların daha sağlıklı dişlere sahip olması için diş hekimi muayeneleri büyük bir gerekliliktir. Diş eti çekilmeleri başta olmak üzere pek çok sorunun önceden tespit edilmesi ve giderilmesi bu sayede mümkün olur.
Diş Eti Çekilmesi (Periodontitis) Belirtileri Nelerdir?
Diş eti çekilmesinin nedenleri içinde birçok belirti bulunur. Bu belirtilere bakarak insanlar kendi diş eti sağlığını değerlendirebilir. En sık görülen belirtiler arasında;
· Diş etinde ortaya çıkan ağrı,
· Sert meyve ve gıdaların tüketimi esnasında diş etinde kanama olması,
· Diş etinin çok hassas hale gelmesi,
· Diş etinde kabarma ve şişme,
· Diş etinde ortaya çıkan kızarıklık ve morarma,
· Nefes alırken oluşan rüzgârda sızlama hissi,
· Diş temizliği ve fırçalama esnasında görülen kanama,
· Diş etleri arasında büyüyen boşluklar, önemli belirtiler olarak görülür.
Her bir belirtiye baktığınızda bunların insan sağlığını çok olumsuz şekilde etkilediğini görmek mümkün olur.
Diş eti çekilmesinin nedenleri hemen herkesin karşı karşıya kaldığı durumlar olarak bilinir. Bu sağlık sorununun yol açtığı belirtilere bakarak çözüm noktasında adım atmak söz konusu olur. Uzman bir diş hekiminin, muayenesi, tavsiyesi ve tedavisi genelde en makul çözüm olarak kendini gösterir.
Diş Eti Çekilmesi (Periodontitis) Nasıl Teşhis Edilir?
Diş eti çekilmesinin nedenleri arasında temizliğe dikkat edilmemesi önemli bir madde olarak karşınıza gelmiştir. Zamanında ve belli periyotlarla yapılan diş fırçalama ve bilinçli diş ipi kullanımı, burada ortaya çıkacak olan sorunların önüne geçebilir. Düzenli bir temizlik sayesinde daha sağlıklı dişlere sahip olmak mümkün olur. Düzenli ve doğru sonuç veren bir teşhis yapmak adına:
· Diş plağı indeksi ile plak oluşumu ölçülür.
· Diş eti indeksi ile çekilme oranı ölçülür.
· Semptomların analizi yapılır.
· Periodontal sondalama ile dişler arasında oluşan boşlukların ölçümü yapılır.
Periyodontoloji uzmanları tarafından yapılan değerlendirme diş eti çekilmesinin durumunu tam olarak ortaya koyar. Sonrasında ise nasıl bir tedavi programının uygulanacağına karar verilir.
Diş Eti Çekilmesi (Periodontitis) Nasıl Tedavi Edilir?
Diş eti çekilmesi tedavisi uzmanların yapacağı muayene ve kontrole göre belirlenir. Öncelikli olarak dişlerde yapılacak olan kapsamlı bir temizlik çalışması üzerinde durulur. Diş taşlarını ve tartar oluşumun temizlemek sağlıklı bir sonuç yaratabilir. Bu temizlik esnasında diş etlerine zarar vermemek gerekir.
Diş ve diş eti temizliği insanların daha sağlıklı bir ağız yapısına kavuşmasına yardımcı olur. Her gün düzenli olarak yapılan bireysel bakım ve temizlikler aslında en önemlisidir. Diş fırçalama ve diş ipi kullanımı konusunda bilinçli olan insanlar bu sayede daha sağlıklı ağız ve diş yapısına sahip olabilir. Düzenli temizlik sayesinde diş plak ve tartar oluşumunun önüne geçmek mümkün olur.
Diş Eti Çekilmesi (Periodontitis) Ameliyatı
Diş etinde yaşanan çekilme rahatsızlığı çok ileri boyutlarda olabilir. Diş etinde ortaya çıkan iltihaplanma doku kaybına da neden olabilir. Tüm bu olumsuzlukların önüne geçmek adına diş eti çekilmesi ameliyatı uygulanan ve başarılı olarak görülen bir yöntem olarak kendini gösterir. Diş etinde yaşanan çekilme sorunlarında önce belirtileri takip etmek gerekir. Uzmanların tavsiyelerine uyarak bilinçli adımlar atmak mümkün olabilir. Eğer tüm bunlar yeterli olmuyorsa cerrahi müdahale seçeneği değerlendirilir.
İleri seviyede sorunlar görüldüğünde diş eti çekilmesi ameliyatı gibi tedavilere başvurmak zorunlu hale gelebilir. Ameliyat sonrası bakım sürecine uyulduğu zaman iyileşme sürecinin oldukça hızlı olması mümkün olacaktır.
Diş ve diş eti ile ilgili sorunlarda destek alabilmek açısından Periyodontoloji desteğine ihtiyaç vardır. Muayene sürecine ek olarak sonrasında gerçekleşen tedavi ve cerrahi müdahale süreçleri sağlık açısından pozitif çözümler yaratacaktır. Bireysel olarak iyi bir bakım ve temizlik rutini, bu konuda daha sağlıklı bir sonuç verir. Diş ipi ve diş fırçası ile yapılacak olan temizlik ile diş ve diş eti sağlığını en iyi şekilde korumak mümkün olur.











